International Journal of Radiology and Radiation Oncology
1Department of Nuclear Medicine, Marmara University Pendik Training and Research Hospital, Istanbul, Turkey
2Department of Radiation Oncology, Marmara University Pendik Training and Research Hospital, Istanbul, Turkey
3Department of Nuclear Medicine, Uludag University School of Medicine, Bursa, Turkey
4Fevzi Çakmak Mahallesi Muhsin Yazıcıoglu Caddesi No:10, Üst, Kaynarca/Pendik/İstanbul, Turkey
Cite this as
Oksuzoglu K, Cetin IA, Sen F, Ones T, Maleki R, et al. (2016) PSMA Accumulation in Benign Pleural Thickening. Int J Radiol Radiat Oncol. 2016; 2(1): 023-024. Available from: 10.17352/ijrro.000016
Copyright License
© 2016 Oksuzoglu K, et al. This is an open-access article distributed under the terms of the Creative Commons Attribution License, which permits unrestricted use, distribution, and reproduction in any medium, provided the original author and source are credited.Prostate-specific membrane antigen (PSMA) is a specific type II membrane glycoprotein. We present the case of a 72-year-old man with newly diagnosed prostate cancer who had a 68 Ga-PSMA PET/CT scan for staging.68 Ga-PSMA PET/CT images showed moderate uptake in the right hemithorax,corresponding to pleural thickening seen on the CT images. Histopathologic examination revealed the diagnosis of chronic inflammation. It is important to keep in mind other alternative diagnoses such as chronic inflammation when 68 Ga-PSMA PET/CT identifies uptake at an atypical site.
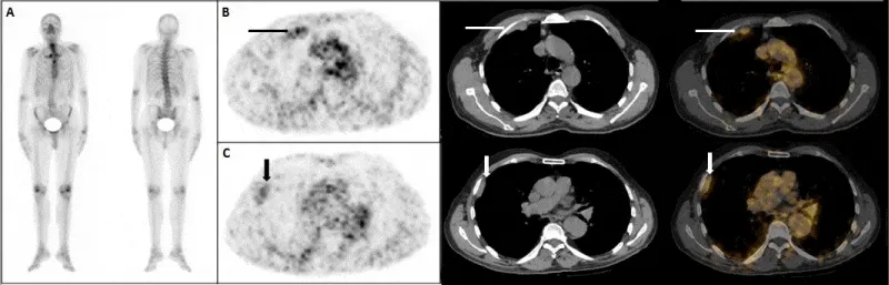
A 72-Year-Old man with newly diagnosed prostate cancer (PSA:12.47ng/ml, Gleason score:3+3) underwent skeletal scintigraphy before treatment. Suspicious Tc-99m MDP uptake was seen on right hemithorax (Figure 1A). Due to suspicious Tc-99m MDP uptake on right hemithorax on bone scintigraphy, further investigation using 68Ga-PSMA PET/CT was suggested. 68Ga-PSMA PET/CT revealed increased heterogeneous uptake in the right posterolateral segment of prostate gland compatible with prostate needle biopsy findings (adenocarcinoma). 68Ga-PSMA PET/CT images showed non-expected slightly increased uptake (SUVmax:1.6) in the right hemithorax greater than mediastinal blood pool activity (SUVmax:1.2), corresponding to pleural thickening seen on the CT images (first intercostals space (Figure 1B) and neighbourhood of the 4 and 6 rib (Figure 1C) with normal lung parenchyma. Thoracoscopic biopsy was performed to establish a definitive diagnosis. The results of histopathological examination (excisional biopsy) indicated the features of chronic inflammation with focal mesothelial hyperplasia. There was no evidence of stromal invasion.
Prostate-specific membrane antigen (PSMA) is a specific type II membrane glycoprotein and its expression is suppressed by androgen in prostate cancer. PSMA is a promising target for both therapy with monoclonal antibodies and imaging [1-3].
PSMA is not specific to the epithelium of prostate gland and is expressed in normal other tissues too, for example urinary bladder, proximal tubules of kidney, liver, salivary glands, oesophagus, stomach, small intestine and neuroendocrine cells in the colon. Some malignant lesions such as adrenocortical carcinoma and some benign lesions (schwannomas) can cause abnormal PSMA-ligand uptake that may be confused with metastases [4-6]. Also, PSMA is expressed in non-neoplastic reparative and regenerative neovasculature tissues like endothelial cells in keloids, granulation tissue from heart valves and pleura, and different phases of cycling endometrium [7].
Chronic inflammation should be kept in mind when interpreting whole-body 68Ga-PSMA PET/CT images and 68Ga-PSMA avid lesions should be confirmed with tissue biopsy before treatment.
Subscribe to our articles alerts and stay tuned.
This work is licensed under a Creative Commons Attribution 4.0 International License.

If you are already a member of our network and need to keep track of any developments regarding a question you have already submitted, click "take me to my Query."